Teeth Repaired In Amazing Restoration Process - Videos from The Weather Channel
Advertisement

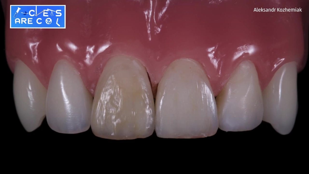
Teeth Repaired In Amazing Restoration Process

March 6, 2018

Extraordinary technology fully restores damaged teeth.